Ракові клітини проштовхнулися у пори розміром як щілини між клітинами

Біофізики вивчили, як ракові клітини здатні проникати в сусідні тканини через надзвичайно вузькі щілини між клітинами. Вони просувають себе вперед і протягують решту клітини за собою. Це стало можливим завдяки дослідженням клітин у гідрогелі з порою, яка іноді була менша за середній розмір клітинного ядра. Результати можуть надати більше інформації про утворення метастазів, коли ракові клітини прослизують між клітинами та волокнами міжклітинної речовини, осідаючи в сусідніх органах. Результати дослідження опубліковані в журналі Science Advances.
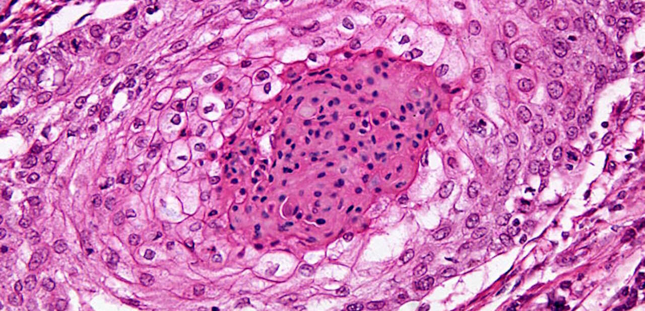
Як клітини переміщувалися в умовах, що моделюють організм?
Дослідження руху ракових клітин шкіри людини в гідрогелі показало, що клітини перемикаються між двома способами руху — проштовхуванням і протягуванням — завдяки змінам у будові цитоскелета, який підтримує форму клітини і забезпечує її рух. При проходженні через дуже вузькі пори, форма ядра змінюється з витягнутої на стиснуту, і його об’єм може зменшуватися на 11 відсотків.
Швидкість переміщення клітини не завжди корелює з шириною пори: більші пори не завжди означають більшу швидкість. При ширині пори більшій за розмір ядра, швидкість переміщення та частота переходів між проштовхуванням і протягуванням збільшувалися, коли ширина пори зменшувалася. Однак, як тільки ширина пори ставала меншою за розмір ядра, рух клітини знову сповільнювався. У майбутньому науковці планують детальніше дослідити рух клітин різних типів, що допоможе краще зрозуміти розповсюдження метастазів раку, процеси загоєння ран, а також проникнення клітин імунної системи в тканини та кров’яне русло.







