Мікропластики в артеріях можуть збільшувати ризик серцево-судинних захворювань
Пластик зараз є всюди, і його мікроскопічні частинки знайдені в кількох важливих органах людського тіла, включаючи плаценту.
Зважаючи на те, як легко ці мікроскопічні частинки проникають у наші тканини, важливо зрозуміти, які ризики для здоров’я вони можуть спричинити.
Дослідники активно вивчають ефекти мікропластику в міні-копіях органів і на мишах, щоб зрозуміти, як він може вплинути на людський організм. Проте концентрації мікропластику в цих дослідженнях можуть не відображати реальне піддавання людей, і лише кілька досліджень було проведено на людях.
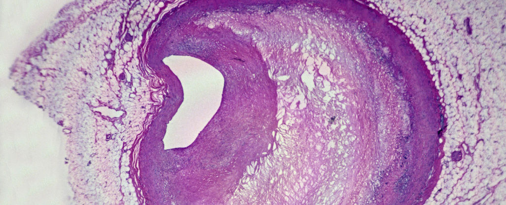
У березні невелике дослідження в Італії виявило частинки мікропластику в жирових відкладеннях, які були хірургічно видалені у пацієнтів, які перенесли операцію по відкриттю забитих артерій, та повідомило про їх стан здоров’я майже через 3 роки.
Операція з видалення жирових бляшок з звужених артерій, званої каротидною ендартектомією, знижує ризик майбутніх інсультів.
Команда, що стояла за цим дослідженням, під керівництвом Раффаеле Марфелли, медичного дослідника Університету Кампанії в Неаполі, зацікавилася порівнянням ризику інсультів, серцевих нападів і смерті серед пацієнтів, у яких були виявлені мікропластики в бляшках, з тими, у кого їх не було.
Через 34 місяці спостереження за 257 пацієнтами дослідники виявили, що майже 60% з них мали вимірювані кількості поліетилену в бляшках, витягнутих з їх звужених артерій, і 12% також мали полімер вінілхлориду (PVC) у видалених жирових відкладеннях.
PVC має як тверду, так і гнучку форму і використовується для виробництва водопроводних труб, пластикових пляшок, підлогових покриттів та упаковки. Поліетилен є найпоширенішим пластиком, що використовується для виробництва пластикових пакетів, плівок і пляшок.
Оскільки мікропластики раніше були знайдені в кровотоці людей, дослідники були занепокоєні їх впливом на серце.
Лабораторні дослідження показують, що мікропластики можуть спричиняти запалення та окислювальний стрес у серцевих клітинах, порушувати серцеву функцію, змінювати серцевий ритм і викликати рубцювання серця у тварин, таких як миші.
“Спостережні дані з досліджень, пов’язаних з професійним піддаванням, також вказують на підвищений ризик серцево-судинних захворювань серед людей, які піддаються забрудненню пластиковими матеріалами, включаючи полімер вінілхлорид, порівняно з загальним населенням”, пишуть Марфелла та колеги.
У дослідженні пацієнти з мікропластиками в бляшках мали в 4,5 рази вищий ризик пережити інсульт, нефатальний серцевий напад або померти з будь-якої причини через 34 місяці порівняно з людьми, у яких не було виявлено мікропластиків у бляшках.
Кількість мікропластику, а також дрібніші частинки, звані нанопластиками, була виміряна за допомогою техніки пироліз–газова хроматографія–масс-спектрометрія, і їх наявність була підтверджена за допомогою іншого методу, аналізу стабільних ізотопів, який дозволяє відрізняти вуглець людських тканин від вуглецю пластмас, виготовлених з нафтопродуктів.
Мікропластики також були видимі під потужними мікроскопами: дослідники спостерігали пластикові фрагменти з зубчастими краями всередині клітин імунної системи, званих макрофагами, і в жирових бляшках. Під час вивчення тканинних зразків команда також знайшла підвищені рівні запальних маркерів у пацієнтів з мікропластиками в їх бляшках.
Однак варто пам’ятати, що спостережне дослідження, як це, не може остаточно підтвердити, що мікропластики є причиною серцевих ефектів; воно лише показує, що існує асоціація. Дослідження не брало до уваги інші фактори ризику серцево-судинних захворювань, такі як куріння, фізична неактивність і забруднення повітря.
“Хоча ми не знаємо, які інші впливи могли сприяти негативним результатам серед пацієнтів у цьому дослідженні, виявлення мікропластику та нанопластиків у тканинах бляшок є важливим відкриттям, яке піднімає цілу низку термінових питань”, – пояснив педіатр, лікар охорони здоров’я та епідеміолог Філіп Дж. Ландріган з Бостонського коледжу в супровідній редакційній статті.
Виробництво пластмаси різко зросло за останні два десятиліття, і лише частина з цього матеріалу була перероблена, але в деяких частинах світу показники серцево-судинних захворювань знижуються, тому потрібно більше досліджень, щоб зрозуміти зв’язок між цими двома явищами.
Дослідження було опубліковане в The New England Journal of Medicine.
