Чому старіння мозку може різко відрізнятися у різних людей

Дослідники отримують глибше розуміння того, як старіє мозок і які фактори можуть сприяти здоровішому когнітивному старінню. Серед них – фізичні вправи, уникнення тютюну, знання другої мови або гра на музичному інструменті.
Згідно з оглядовою статтею, опублікованою в журналі Genomic Psychiatry , певні аспекти когнітивних здібностей у літньому віці можуть бути пов’язані з результатами тестів ще у віці 11 років. Дослідження ґрунтується на даних з Lothian Birth Cohorts у Шотландії, де з’ясували, що близько половини різниці в когнітивних функціях людей похилого віку могли бути помічені ще в дитинстві.
Проте певні фактори способу життя дорослих все ж виявили зв’язок із покращенням когнітивних здібностей і уповільненням старіння мозку. Саймон Кокс, один з авторів дослідження та директор Lothian Birth Cohort Studies з Університету Единбурга, зазначив, що регулярна фізична та розумова активність, уникнення ризиків для судин, знання другої мови, гра на музичних інструментах і молодший вигляд мозку сприяють кращому когнітивному старінню.
Згідно з Коксом, важливо підходити до здоров’я мозку з точки зору “невеликих покращень”, а не очікувати чарівного рішення. Зважаючи на сукупність таких факторів, вони можуть пояснити близько 20% різниць у когнітивному старінні серед осіб у віці від 70 до 82 років.
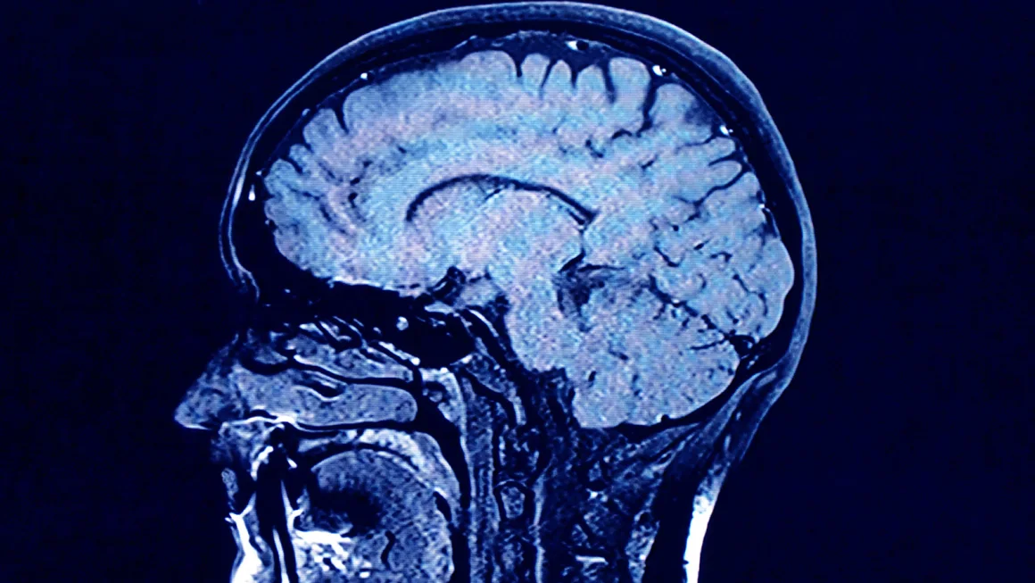
Дослідження Lothian Birth Cohorts включало дві групи людей: шотландців, народжених у 1921 і 1936 роках. У віці 11 років вони проходили тестування на когнітивні здібності, а пізніше, у 70, 80 та 90 років, проводилися нові тестування разом з МРТ мозку.
За словами Кокса, МРТ-сканування учасників показало велику різницю в здоров’ї мозку: у деяких людей мозок виглядав молодим і здоровим, а у інших спостерігалися значні зміни білої речовини, що пов’язано з когнітивним старінням та деменцією.
Порушення сну та проблеми з психічним здоров’ям, як-от депресія, є відомими факторами ризику когнітивного спаду. Регулярні фізичні вправи, як-от ходьба чи їзда на велосипеді, можуть покращити розумові здібності, а здоровий серцевий раціон допомагає уповільнити старіння мозку.
Також розроблено інструмент під назвою “Brain Care Score”, який допомагає оцінити ризик розвитку деменції або інсульту. Він включає 12 факторів, таких як артеріальний тиск, рівень цукру, холестерину, індекс маси тіла, харчування, споживання алкоголю, фізична активність, сон, стрес, соціальні зв’язки та відчуття сенсу життя.
Д-р Річард Айзексон, дослідник старіння мозку, наголошує на важливості регулярних медичних обстежень для моніторингу фізичного здоров’я, судинного стану та хронічних захворювань.







