Глибоко в океані знайшли таємничі види морських бактерій

Науковці виявили незвичайний та унікальний вид морських бактерій у зразках відкладень з глибин океану. Це відкриття сприяє покращенню нашого розуміння умов глибоководних регіонів та мікробіології взагалі.
Команда з Китаю виростила бактерії в лабораторії, використовуючи осад із холодної рідини , спеціальної калюжі з багатою поживними речовинами рідини та бруду на дні океану.
Дослідницька група назвала його Poriferisphaera hetertotrophicis і належить до групи бактерій, які недостатньо вивчені, хоча зустрічаються по всьому світу, від озер до ґрунтів, і відіграють вирішальну роль у переробці вуглецю та азоту.
«Більшість бактерій Planctomycetes було виділено з використанням живильних середовищ, які не містять поживних речовин», — каже мікробіолог Рікуан Чжен з Китайської академії наук.
«Тож ми хотіли побачити, чи використання багатого поживними речовинами середовища дозволить культивувати та охарактеризувати членів цієї погано вивченої родини».

Новий підхід Чжен і команди в лабораторії моделював глибоководні умови. Нові бактерії P. hetertotrophicis , штам, позначений ZRK32, росли швидше, ніж інші культивовані бактерії, і розмножувалися іншим способом, ніж інші подібні штами.
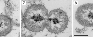
Механізм брунькування , коли батьківські клітини розвивають бруньки, які потім стають їхніми нащадками, раніше не спостерігався у Planctomycetes . Можливо, це ознака більш незвичних умов, у яких живе цей штам бактерій.
Новий вид також, здається, по-новому взаємодіє з типами азоту – і циклом азоту – і живе поряд із певним типом вірусу, що обіймає бактерії ( бактеріофаг ) , який допомагає переробляти його азот.
Усе це впливає на розуміння вченими хімічних процесів, що відбуваються глибоко під поверхнею океану.
«Наші аналізи показують, що штам ZRK32 є новим видом, який найкраще росте в багатих поживними речовинами середовищах і вивільняє бактеріофаг у присутності азоту», — говорить мікробіолог Чаомін Сун з Китайської академії наук.
«Цей фаг ZRK32 є хронічним бактеріофагом, який живе всередині свого господаря, не вбиваючи його».
Бактеріофаги також важливі для циклу азоту, як і бактерії, з якими вони співіснують. У майбутніх дослідженнях можна буде розглянути, як фаг-ZRK32 взаємодіє з іншими штамами Planctomycetes і як це впливає на океанське середовище.
Враховуючи, що бактерії Planctomycetes настільки всюдисущі, відносно мало відомо про них у глибоководних середовищах – прогалину в знаннях, яку нове дослідження та нещодавно ідентифіковані види бактерій допомагають заповнити.
«Наші відкриття дають нове уявлення про метаболізм азоту в бактеріях Planctomycetes і є відповідною моделлю для вивчення взаємодії між Planctomycetes і вірусами », — говорить Сан .
Дослідження опубліковано в eLife .







