Генетичні аномалії виявилися поширеними і не завжди небезпечними
Скринінг ДНК мільйонів здорових людей показав, що в деяких випадках навіть небезпечна генетична аномалія – однобатьківська дисомія – не вирок.
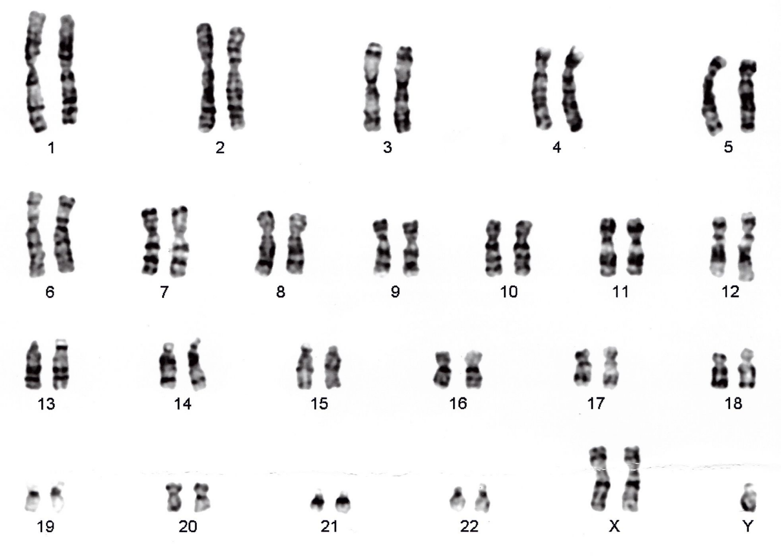
Геном людини містить 23 пари хромосом: один набір – материнський, другий – батьківський. У деяких випадках через різні збої яйцеклітина або сперматозоїд зберігає дві копії однієї з хромосом, і заплідненій клітині вдається вижити, елімінувавши третій, зайвий екземпляр. Цей та деякі інші процеси призводять до виникнення однобатьківської дисомії – успадкування обох копій хромосоми тільки від одного з батьків.
Вважається, що така генетична аномалія може призводити до серйозних патологій розвитку, аж до викиднів, а в тих, хто зумів вижити, – до тяжких захворювань. Медицині відомо не так багато випадків однобатьківської дисомії. Однак автори нової статті, опублікованої в The American Journal of Human Genetics, виявили, що аномалія трапляється набагато частіше, ніж заведено вважати, зокрема у цілком здорових людей.
Дослідники з американського Університету Брауна і генно-медичної компанії 23andMe вивчили анонімізовані дані по ДНК 4,4 мільйона здорових клієнтів 23andMe і ще 430 тисяч учасників проєкту UK Biobank, виявивши ще 675 випадків однобатьківської дисомії. Це вдвічі більше, ніж можна було очікувати, виходячи з попередньої статистики. Ба більше, це не так небезпечно: істотних кореляцій між аномалією та розвитком важких хвороб автори не знайшли.
Судячи з усього, раніше дисомію виявляли лише в разі серйозних проблем зі здоров’ям, коли медики вдавалися до далеко не першочергового заходу – генетичного дослідження. У результаті аномалії помічали тільки в таких випадках, коли вони завдавали шкоди, здорові ж люди жили і живуть з однобатьківською дисомією, нічого про це не підозрюючи.
